导航菜单

ATLANTIS 3D Editor Launcher LOGO 图标

ATLANTIS 3D Editor Launcher

2.0.3
2025-08-29
4
4.5

插件介绍

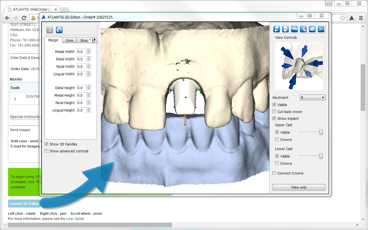
扩展名启动了Atlantis 3D编辑器2.0+作为Chrome Ver 45+的独立应用

对于我们的Chrome浏览器用户,此扩展程序允许您从Atlantisweborder.com或Atlantis 3D Editor 2.0版本的Atlantisweborder.com或OrderDigitalSolutions.com打开订单,并从Chrome版本45中作为独立应用程序,并且不再支持插件。


插件详情

评分
4.5星(共5星),共2位用户参与评分
使用人数
20,000+ 位用户
版本
2.0.3
文件大小
25.8KB
提供方
https://www.atlantisweborder.com/
支持语言
英语(美国)
ID
pbjiekedkjgmjnflkffagmdknmlcbned
发布时间
2021-11-27 13:23:39
1 / 5